出っ歯(大人矯正)の症例一覧
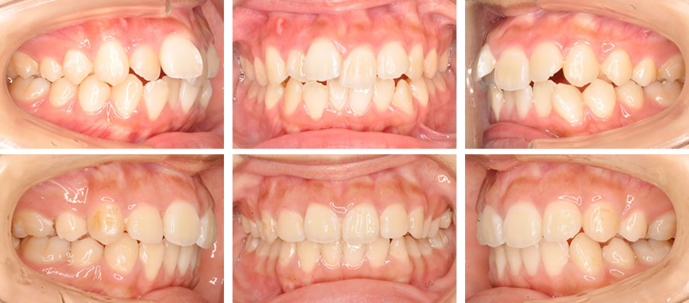
出っ歯の矯正治療例(40代女性 2年11ヵ月)

出っ歯の治療例(Before&After)と解説 年齢・性別 40代女性 治療期間 2年11ヵ月 抜歯 上下左右1本ずつ 治療費 720,000円(税込) リスク・注意点 ・歯の移動に伴う鈍痛や歯根吸収が生じる […]
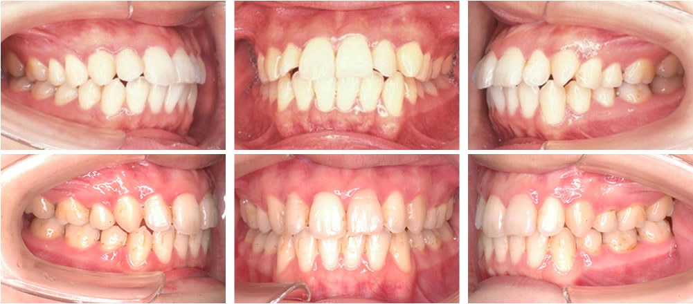
出っ歯の矯正治療例(10代女性 2年9ヵ月)

出っ歯の治療例(Before&After)と解説 年齢・性別 10代女性 治療期間 2年9ヵ月 抜歯 上下左右1本ずつ 治療費 770,000円(税込) リスク・注意点 ・歯の移動に伴う鈍痛や歯根吸収が生じる場 […]
出っ歯の矯正治療例(10代女性 2年9ヵ月)

出っ歯の治療例(Before&After)と解説 年齢・性別 10代女性 治療期間 2年9ヵ月 抜歯 上下左右1本ずつ 治療費 770,000円(税込) リスク・注意点 ・歯の移動に伴う鈍痛や歯根吸収が生じる場 […]
出っ歯の矯正治療例(10代女性 2年8ヵ月)

出っ歯の治療例(Before&After)と解説 年齢・性別 10代女性 治療期間 2年8ヵ月 抜歯 上下左右1本ずつ 治療費 770,000円(税込) リスク・注意点 ・歯の移動に伴う鈍痛や歯根吸収が生じる場 […]
出っ歯の矯正治療例(30代女性 3年)

出っ歯の治療例(Before&After)と解説 年齢・性別 30代女性 治療期間 3年 抜歯 上下左右1本ずつ 治療費 770,000円(税込) リスク・注意点 ・歯の移動に伴う鈍痛や歯根吸収が生じる場合があ […]
出っ歯の矯正治療例(10代女性 2年7ヵ月)

出っ歯の治療例(Before&After)と解説 年齢・性別 20代女性 治療期間 2年8ヵ月 抜歯 上下左右1本ずつ 治療費 770,000円(税込) リスク・注意点 ・歯の移動に伴う鈍痛や歯根吸収が生じる場 […]
出っ歯の矯正治療例(20代女性 2年8ヵ月)

出っ歯の治療例(Before&After)と解説 年齢・性別 20代女性 治療期間 2年8ヵ月 抜歯 上下左右1本ずつ 治療費 660,000円(税込) リスク・注意点 ・歯の移動に伴う鈍痛や歯根吸収が生じる場 […]
出っ歯の矯正治療例(20代男性 2年9ヵ月)

出っ歯の治療例(Before&After)と解説 年齢・性別 20代男性 治療期間 2年9ヵ月 抜歯 上下左右1本ずつ 治療費 770,000円(税込) リスク・注意点 ・歯の移動に伴う鈍痛や歯根吸収が生じる場 […]



